Services
About
Gallery
Team
English
Contact Us
Services
About
Gallery
Team
English
Contact Us
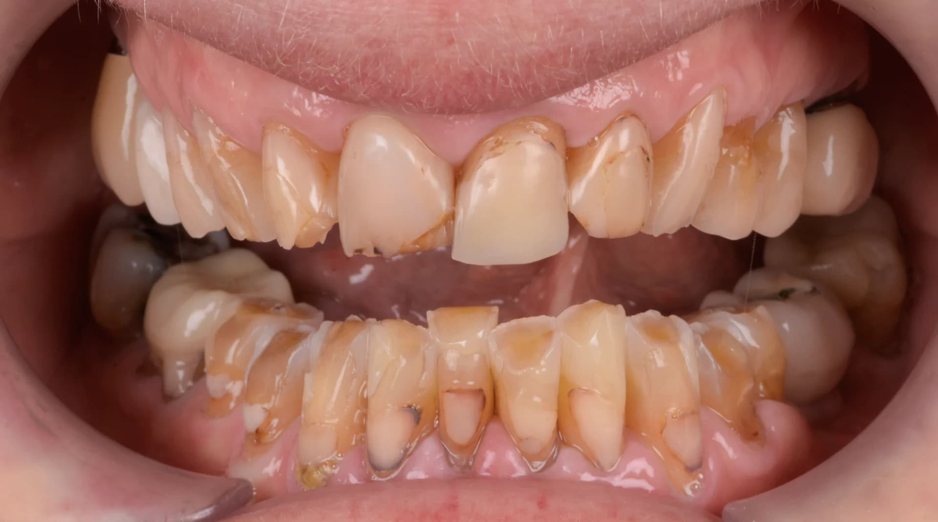
Gallery
Explore our portfolio of precision dental work and case studies.
prothèses dentaires fixes